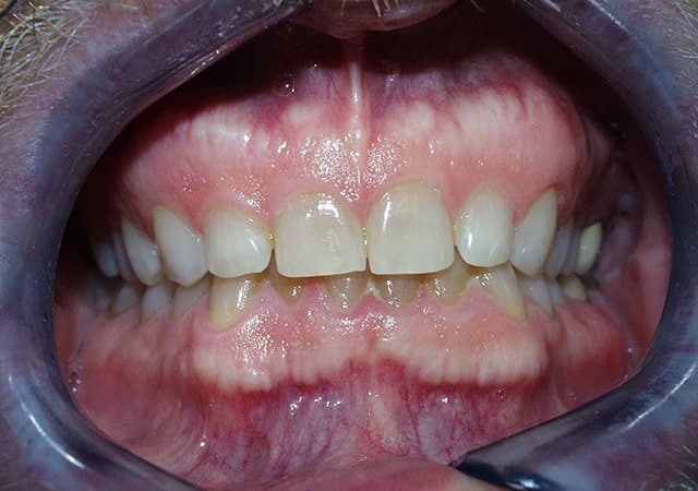
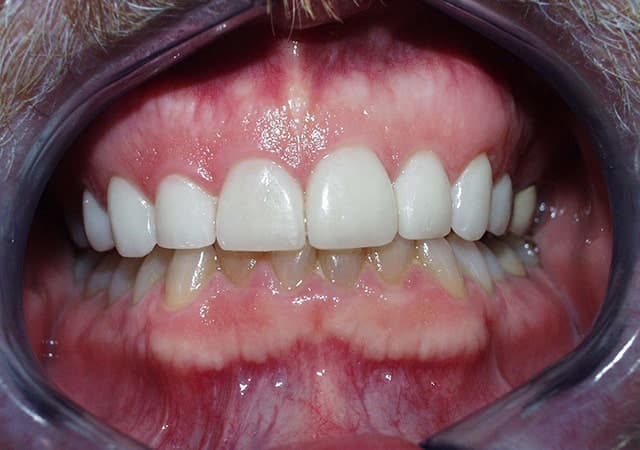
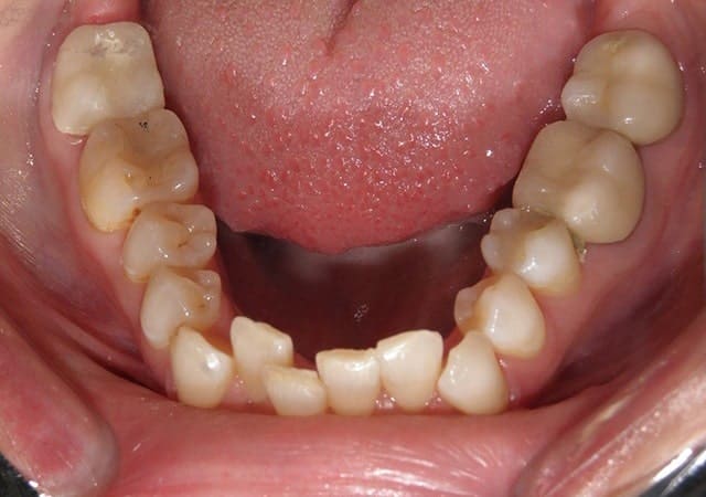
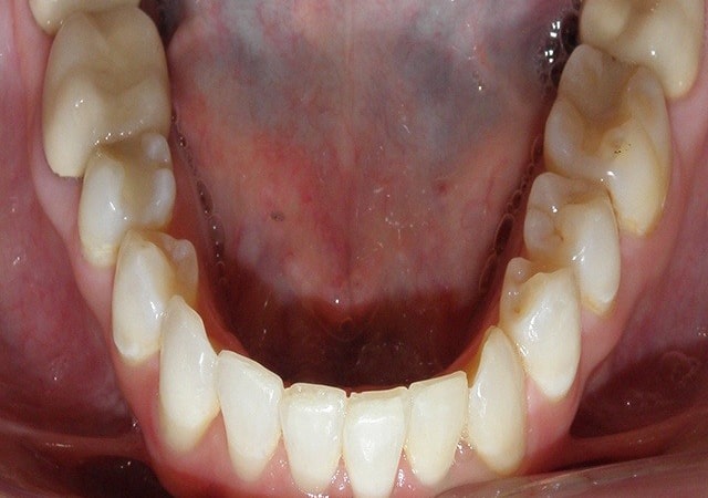
Our before and after photos showcase why our patients trust our expertise in cosmetic dentistry in Austin, Texas. Reach out to Barton Oaks Dental Group today at (512) 327-6947 to learn more and to schedule your appointment.
Veneers




















Orthodontics












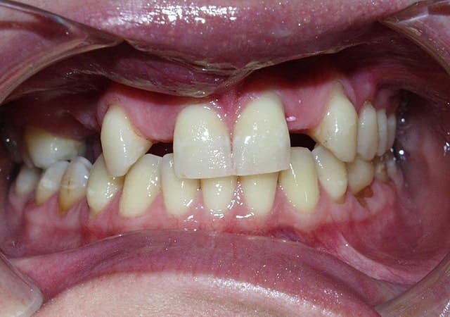
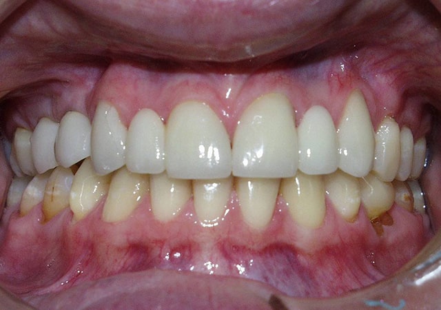
Porcelain Crowns










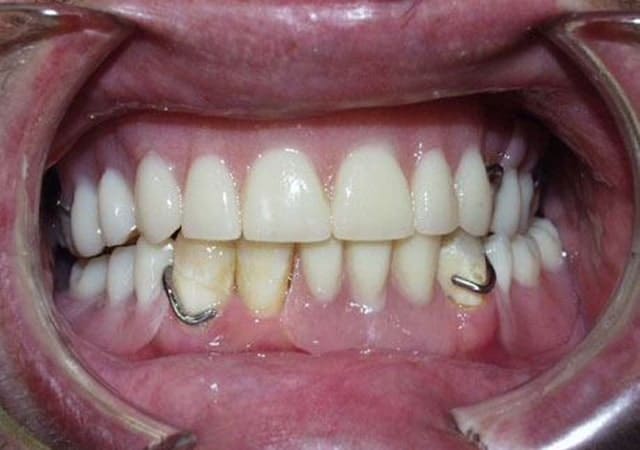
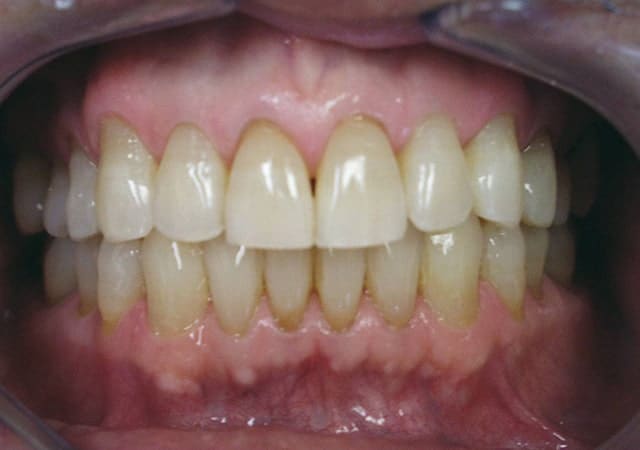
Partial Dentures


Teeth Whitening


Extractions


Porcelain Onlay


Dental Implants




